目次
歯の色や形が気になり、短期間で美しさを手に入れられるラミネートベニアに興味を持つ方は少なくありません。ラミネートベニアは、薄く削ったセラミック製の板を歯の表面に貼り付ける治療法で、自然な白さや整った歯並びを実現できる点が特徴です。
しかし、その一方で、費用の高さや歯へのダメージなど、デメリットもあります。
この記事では、ラミネートベニアのデメリットやメリット、ほかの治療法との違いなどについて解説していきます。歯を美しくしたいとお考えの方は、ぜひ参考にしてください。
ラミネートベニアとは

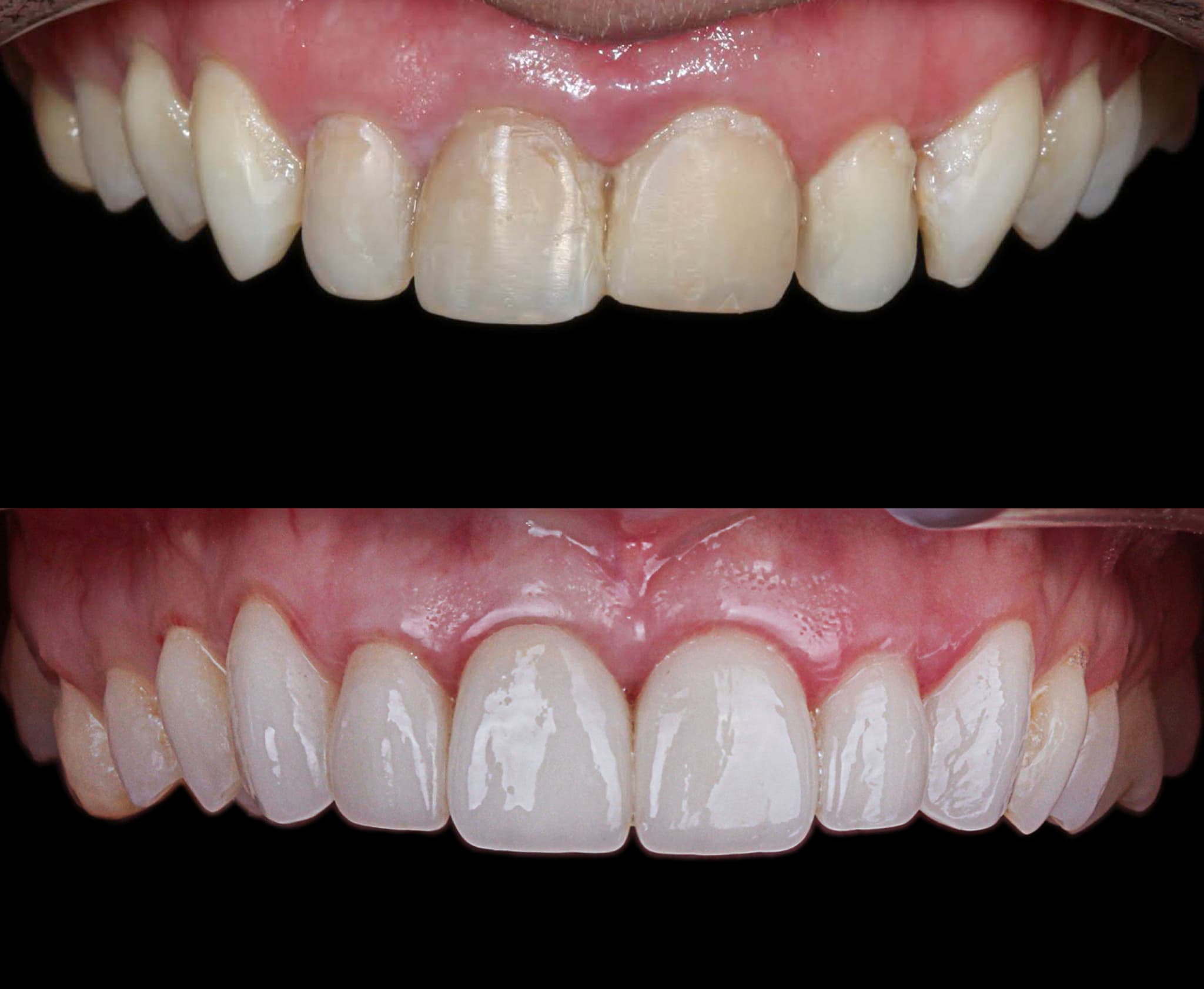
ラミネートベニアは、歯の見た目を改善するための審美歯科治療です。歯の表面を薄く削り、その上にセラミック製の薄いシェルを貼り付けることで、歯の色や形、歯並びなどを整えます。天然歯をできるだけ削らずに、自然な美しさを得られる点が特徴です。
加齢や生活習慣によって歯が変色したり、外傷や食事によって歯が欠けたりしている方によく選ばれています。
ラミネートベニアのデメリット

ラミネートベニアは歯の見た目を美しくする優れた治療法ですが、決して万能ではありません。治療を検討する際はデメリットも十分に理解しておくことが大切です。
ここでは、ラミネートベニアのデメリットについて解説します。
健康な歯を削る必要がある
ラミネートベニアは、歯の表面をごく薄く削ってからセラミックを貼り付けます。厚みを持たせたまま貼ると出っ張りが大きくなり、不自然な仕上がりになるためです。
削る量はごくわずかではあるものの、健康なエナメル質を削ることには変わりありません。歯を削ることに抵抗を感じる方もいるでしょう。
費用が高額になる可能性がある
ラミネートベニアは自由診療に分類されるため、健康保険の適用外です。1本あたりの費用は5万円〜15万円程度が相場であり、複数の歯を同時に治療する場合は、その本数分の費用がかかります。
使用するセラミックの種類や歯科医院によっても金額に差があるため、総額いくらかかるのか確認しておくことが重要です。美しさを得られる反面、高額な費用がデメリットといえます。
適応できない症例がある
ラミネートベニアは、すべての歯の悩みに対応できる治療ではありません。歯並びのズレが大きい場合や、強い噛み合わせの異常を改善したい場合は、矯正治療が必要になることもあります。
また、虫歯や外傷で歯を大きく失っている場合や、奥歯などでは、ラミネートベニアでの対応が難しく、セラミッククラウンなど、ほかの審美治療が検討されます。自身の歯の状態に合うかどうか、事前に歯科医師と十分に相談し、適応症例かどうかを確認することが大切です。
割れることがある
セラミックは硬く割れにくい素材ですが、衝撃には弱いためヒビが入ったり割れたりする場合があります。特に、歯ぎしりや食いしばりの癖がある方は、就寝中に歯を擦り合わせることで破損するリスクが高まります。
歯科医師と相談し、就寝時やスポーツ時には専用のマウスピースを使用するなどの対策が必要です。
ラミネートベニアのメリット

デメリットをご紹介しましたが、ラミネートベニアを選択する方は多くいます。ここでは、ラミネートベニアのメリットについて確認していきましょう。
不自然になりにくい
ラミネートベニアの魅力は、天然歯のように自然な見た目を実現できる点です。セラミックは光の透過性が高く、ツヤのある素材です。色調や質感もオーダーメイドで調整できるため、装着していても人工歯と気づかれにくいでしょう。
歯の色・形を改善できる
さまざまな歯の色や形の悩みに対応できるのもラミネートベニアのメリットです。例えば、抗生物質によって変色した歯はテトラサイクリン歯と呼ばれ、ホワイトニングでは改善が難しいとされています。
ラミネートベニアは歯の上からシェルを貼り付ける方法であるため、希望の歯の色に整えられるのです。また、歯の先が欠けている、短い部分があるといった悩みにも対応できます。
軽度のすきっ歯(空隙歯列)も、形を整えたシェルを貼り付けることで目立ちにくくできます。
長期間美しさを維持できる
ラミネートベニアで使用するセラミックは吸水性が低く、変色しにくい素材です。コーヒーや赤ワインなどの着色性の高い飲食物を摂取しても、白く清潔感のある口元を維持しやすいという特徴があります。適切なメンテナンスを行えば、10年以上美しい状態を保つことも可能です。
金属を使用しない
ラミネートベニア治療では、金属を使用しません。そのため、金属アレルギーのある方でも安心して治療を受けられます。金属アレルギーの症状が出る心配がないというのは、大きなメリットといえるでしょう。
歯を削る量が少ない
ラミネートベニアは、歯の表面をごくわずかに削るだけで装着できる治療です。セラミッククラウンの場合は、歯の周囲を大きく削る必要がありますが、ラミネートベニアでは0.3~0.5mmほど削るのみです。必要以上に削らないため、歯への負担が少なく済みます。
歯をできるだけ残したいと考える方にとって、メリットといえるでしょう。
治療期間が短い
ラミネートベニアの大きな魅力のひとつが、治療完了までのスピードです。歯をわずかに削ったのち、型取りと製作を経て、1〜2回の通院で治療が完了します。治療期間が短縮されることにより、早期に見た目の悩みを解消できる点は、忙しい方やイベント前に美しい歯を手に入れたい方にとって大きなメリットといえるでしょう。
また、通院の回数が限られているため、仕事や家庭の都合で時間の調整が難しい方でも取り組みやすい治療法です。
ラミネートベニアとほかの治療法との違い

歯の見た目に悩みを抱えている方が検討する治療法として、ラミネートベニアのほかにホワイトニングやセラミッククラウンがあります。いずれも審美歯科の治療ですが、治療内容や効果の仕組みには大きな違いがあります。
ここでは、ラミネートベニアとの違いに着目しながら、ホワイトニングとセラミッククラウンについて解説します。
ホワイトニング
ホワイトニングは薬剤を用いて歯の黄ばみを分解し、歯そのものを白くする方法です。薬剤には過酸化水素や過酸化尿素が使われており、歯の表面のエナメル質に作用します。
効果には個人差がありますが、もとの歯よりも白くすることも可能です。ラミネートベニアのように1本ずつの歯に対して行うわけではないため、歯全体を白く美しく整えられます。
しかし、加齢による黄ばみの強い歯や、抗生物質によって変色したテトラサイクリン歯、神経を失った歯には効果が期待できません。ホワイトニングによって一度白くなった歯も、飲食物などによって再び色が戻るため、定期的に施術を受ける必要があります。
また、ラミネートベニアのようにセラミックを貼り付けることはないため、歯の形を変えたり、すきっ歯を改善したりすることはできません。ホワイトニングで白くできない歯の色を改善したい場合や、歯の形や大きさに悩みがある場合は、ラミネートベニアを検討する必要があるでしょう。
セラミッククラウン
セラミッククラウンは、歯をすっぽりと覆う被せ物です。歯の周りを削り、上からセラミックの人工歯を被せます。耐久性に優れており、変色や虫歯の再発リスクを抑えやすい点が魅力です。
歯の色や形を整えたい審美目的だけでなく、虫歯で歯の大部分を失ったケースでもよく選ばれています。
ただし、歯の表面をわずかに削るラミネートベニアとは異なり、歯の周りを大きく削らなくてはならないのはデメリットです。歯を削ることで知覚過敏になるリスクや、歯そのものの強度を下げるリスクがあります。
そのため、審美目的でセラミッククラウンを選択する場合は、リスクを踏まえたうえで慎重に検討しましょう。
まとめ

ラミネートベニアは、歯の表面に薄い板を貼り付けることで見た目を美しくする治療法です。自然な仕上がりで短期間で効果が得られる一方で、健康な歯を削る必要がある点や費用が高額になる点はデメリットといえます。
施術前には、歯の健康状態や希望する仕上がりについてしっかりと歯科医師と相談し、自分に合った治療法かどうかを見極めることが大切です。メリットだけでなくデメリットについても理解したうえで、納得のいく治療を選びましょう。
品川港南歯科・矯正歯科クリニックでは、痛みや施術時間を抑えながら自然な仕上がりの治療を目指しています。マウスピース矯正やセラミック治療、虫歯治療、ホワイトニングなどにも力を入れています。


